wina Опубликовано 7 января Опубликовано 7 января (изменено) В лесу на прогулке. Нора чёрная. Успеваю отойти на один шаг, чтобы сфотографировать. Изменено 7 января пользователем wina 9
wina Опубликовано 11 января Опубликовано 11 января (изменено) Сделали УЗИ, Нора НЕ беременная, уже легче. Расход 2500. Спасибо Маше за корм! Сумму Оля Фаби пропишет. В клинике встретили знакомых), рада @Коробкова Ирина Изменено 11 января пользователем wina 5
wina Опубликовано 12 января Опубликовано 12 января (изменено) " Не бей лежачего " ( по- моему, оба хотят занять то кресло, на котором сижу я и это пишу) Изменено 12 января пользователем wina 3 5
wina Опубликовано 13 января Опубликовано 13 января Нора теперь с паспортом и привита). Мультикан-8, расход 3000 прививка и 250 паспорт. 1 2
Фаби и Варя Опубликовано 15 января Автор Опубликовано 15 января (изменено) Отчёт на 15.01 Остаток: 4557р Приход : от Ларисы 2000р от спонсора " Печатный экспресс " 5000р Ирина К 5000р Итого: 16557р Расход : ает. клиника 2500, корм 7750р , 3500прививка Остаток: 2807р Корм купила у Марии ( ник не помню) , так как он им не понадобился. Изменено 15 января пользователем Фаби и Варя 1
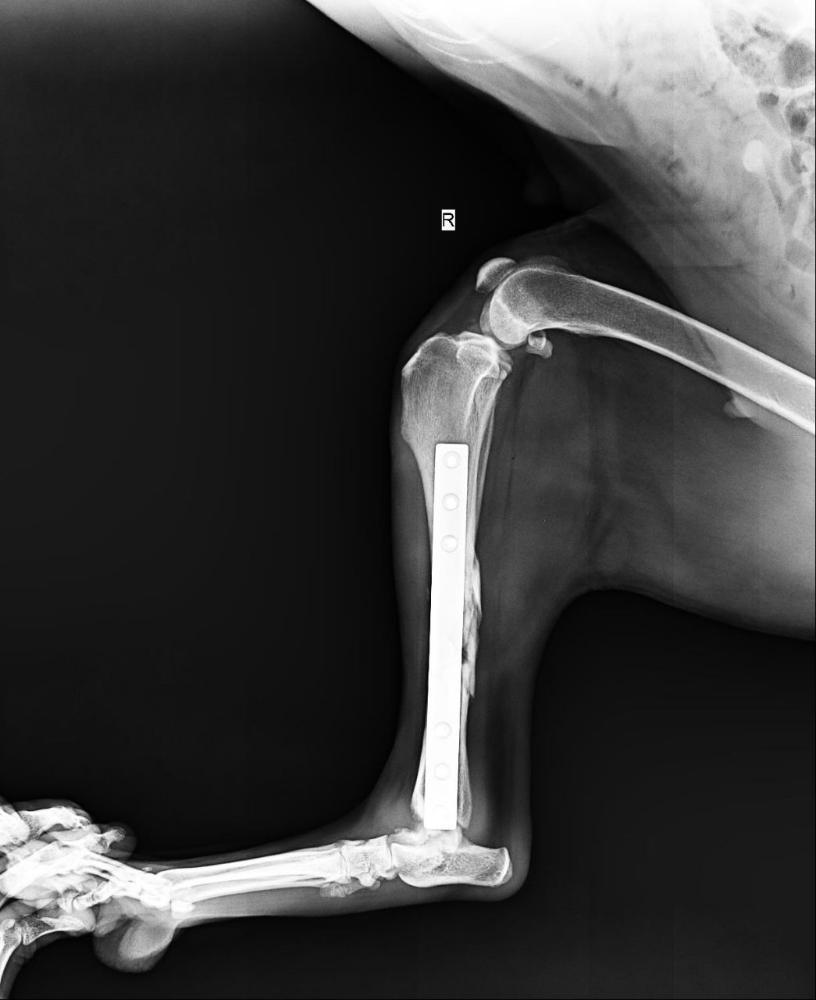
wina Опубликовано 18 января Опубликовано 18 января (изменено) Сдали анализ мочи, расход 900 р, показатели в норме. И- важно- были в клинике Еремина, Док сказал, все хорошо. Лапа собрана на трехмиллиметровой ( в толщину) пластине и 6 штифтах. Док сказал, хорошо, что удалось сохранить длину лапы (!!) , Нора нормально наступает. Остеогенон пить еще месяц хорошо бы. Расход ( рентген) + осмотр 2350. Изменено 18 января пользователем wina 3 4
Светлана 2101 Опубликовано 18 января Опубликовано 18 января Как красиво всё сделано Мастером! Будет бегать девчонка. 3
Фаби и Варя Опубликовано 19 января Автор Опубликовано 19 января Отчёт на 19/01 Остаток: 2807р +250( ошибка за прививку) =3057р Расход : анализ 900+ осмотр врача 2350+ аптека 3753 Остаток: минус 3946р 1
Коробкова Ирина Опубликовано 19 января Опубликовано 19 января Оль, а пластину же потом не будут убирать? А то я помню Чернышу делали операцию ( у него был перелом со смешением) и ему ставили штифт? Или что то этого, но не предупредили, что потом нужно убрать, а через много лет другой доктор уже нам сказал, что нужно было вытаскивать. На морозе лапа мерзла . Поэтому в сильный мороз не гуляли
wina Опубликовано 20 января Опубликовано 20 января Насколько я понимаю, убирать пластину не планируется, на постоянно. Про " убирать" Док ничего такого не говорил.
Нечаева и Ко Опубликовано 20 января Опубликовано 20 января (изменено) Нора приехала в " Зелёный луч" . Встреча прошла хорошо. Впрочем, у нас по другому и не бывает😀. Девочка - стопроцентный лабрадор с браком по прикусу. Коротковатый щипец и перкус. Такое встречается даже в питомниках. Постоянно в поисках чего бы и где пожрать 😅. Пока из за прооперированной лапы встать передними на стол не моГет , но всё впереди😊. Завтра бум мыться. Наводить марафет. Всё остальное - как говорится - поживём - увидим😀 @wina. Лена. Спасибо , что приютила зайку на период течки и стабилизации с лапой. Девочки! Оля и Катя. Была видеть вас в нашем райском уголочке🤗 Изменено 20 января пользователем Нечаева и Ко 3 5
Нечаева и Ко Опубликовано 20 января Опубликовано 20 января Начинаем учиться ждать, и не выбивать из рук миску с едой. Сегодня это уже случилось. Правда , в руках была миска с водой. Но она об этом не знала😅 5 2
Фаби и Варя Опубликовано 20 января Автор Опубликовано 20 января Оля! Спасибо🙏💕 тебе огромное! Спасибо за тёплый приём и вообще, что всегда рядом! 2
Фаби и Варя Опубликовано 21 января Автор Опубликовано 21 января Оль, спасибо🙏💕 тебе! Красавица она!!! 1
Нечаева и Ко Опубликовано 24 января Опубликовано 24 января В 04.01.2026 в 22:31, Mary Star сказал: И любит капучино , если что) Она любит всё, что не приколоченно😅🙈 2
Нечаева и Ко Опубликовано 28 января Опубликовано 28 января Маленькими шажочками в большую жизнь 😀 Как же её клинит от вида еды,,и,?особенно ,миски в руках🙈 Потихоньку учимся выдержке. 7
Коробкова Ирина Опубликовано 28 января Опубликовано 28 января 11 часов назад, Нечаева и Ко сказал: Эх, у нас кормежка-это квест . Есть те, кто орет, есть те, кто скачет и орет. А остальные пускают слюни и ждут😆
Коробкова Ирина Опубликовано 28 января Опубликовано 28 января А вот когда они НЕ едят- это ужас. По мне лучше пусть у меня на голове скачут, только едят 2
Нечаева и Ко Опубликовано 31 января Опубликовано 31 января В 28.01.2026 в 22:29, Коробкова Ирина сказал: А вот когда они НЕ едят- это ужас. По мне лучше пусть у меня на голове скачут, только едят Если они не едят - это повод пойти к врачу. Но такое вот - тоже не айс. Особенно , на улице, в городе.
Рекомендуемые сообщения
Для публикации сообщений создайте учётную запись или авторизуйтесь
Вы должны быть пользователем, чтобы оставить комментарий
Создать аккаунт
Зарегистрируйте новый аккаунт в нашем сообществе. Это очень просто!
Регистрация нового пользователяВойти
Уже есть аккаунт? Войти в систему.
Войти