Перейти к содержанию
Лабрадор.ру собаки - ретриверы

Рекомендуемые сообщения

Опубликовано

У нас тут неделю назад возник вопрос - у Вилли было небольшое подтекание мочи во сне. Не огромные лужи, но факт очень тревожил. Мы подумали, что разовое, но нет, поэтому связались с доктором. 

Для проверки, что это точно просто из-за бывших проблем с простатой, а не развивающаяся инфекция, нам сказали посмотреть сейчас мочевыделительную и сделать анализ мочи, вдруг антибиотик не работает и там что-то развилось,  не ждать контроля через месяц, как обычно происходит.

Слава собачьему Богу, это нам пока аукается простата, все пройдет :default_clap_1: Антибиотик продолжать и наблюдать.

Аня, спасибо, что  ты так чутко следишь за Вилли, заботишься и по любому поводу, который тебя беспокоит, связываешься. :default_buket1:

52fdfae6b6d378c4262c677b9381fe5d.png34f05ea4e0532822a81c85e61820c202.png
 2d61e2ee549e62234695063ed07defd6.png3e2593f4827a710119bc0e348ab31771.png

 

Остаток на 24.07 МИНУС 2125,25коп

Приход:

5000руб. Сусанна

500руб. Алла Кись ФБ

Итого приход: 5500руб.

Расход:

643руб. синулокс

2400руб. узи и анализ мочи

Итого расход: 3043руб.

ИТОГО: 331,75коп.

 

Вилли надо покупать корм, мешок стоит 3910руб.

Прошу помощи в покупке корма и оплате передержки далее :default_rolleyes:

 

Если вы можете поддержать Вилли:

Hомер карты сб 4279 3800 1419 9055 Светлана Владимировна У.

Огромное спасибо!! :default_buket1:

 

 

  • Like 2
  • Спасибо 1
  • 3 недели спустя...
Опубликовано

В этот летний субботний вечер хочется поделиться с всеми вами прекрасной новостью - Вилли обрел дом!:default_clap_1::default_1st:

Мальчик обрел свою маму! Вилличка остается в семье Анны как еще один любимый сын, брат Лукаса.

Шоколадный ребенок врос в маму, не отходит ни на шаг, дышит  и чахнет над златом, чутко следит - куда пошла, чем занимается, надо ли помочь. И сон стережет под бочком у мамы, правда, спит крепче, чем она, но это нюансы, главное стремление заботиться :default_lol_2: 

Все проплешинки заросли, становится покрытым ровным слоем шоколада наш "батончик".:default_rolleyes:

Хочу выразить всем вам, кто поддерживал и помогал Вилличке, сердечную благодарность!! Всем вместе нам удалось восстановить мальчика, дать ему возможность обрести дом и наслаждаться счастьем, когда дома любят и ценят! Спасибо!!:default_buket2:

 

Остаток на 29.07   331,75коп.

Приход:

300руб. от Павла Павловича Ш

500руб От Екатерины Александровны К 

500руб. От Ярослава Андреевича А

2000руб. Natalie_VB

700руб. от OlyaOs

Итого приход: 4000руб.

Расход: 0

ИТОГО: 4331,75коп.

Вся сумма переведена в тему Мэри 

 

 

ИТОГО: 0 

 

Еще раз огромное всем спасибо!! :default_buket1:

  • Like 2
  • Спасибо 10
Опубликовано

Как я рада за мальчика, наконец-то он узнал , что такое быть любимым!!! Света, Анна спасибо :default_buket2::default_buket2::default_buket2:

  • Спасибо 2
Опубликовано

Вот Аня,кремень :default_lol:

Вчера только разговаривали,ничего не сказала ))))

Поздравляю с пополнением,а сэра Лукаса с братиком )))

  • Спасибо 1
  • Ха-ха 1
Опубликовано
В 19.08.2018 в 14:16, Вареник7 сказал:

Вот Аня,кремень :default_lol:

Вчера только разговаривали,ничего не сказала ))))

Поздравляю с пополнением,а сэра Лукаса с братиком )))

Денис, добрый вечер! 

Сюрприз не удался!!! :default_lol:

Спасибо всем большое за ребёнка!  Лукас у нас удивительный мальчишка, но и младшенький ему не уступает! :)))  Вилли очень трогатель и ласковый, послушный и преданный сынок! 

IMG_6996.JPG

  • Like 4
  • Спасибо 1
  • 3 месяца спустя...
  • 2 недели спустя...
  • 4 года спустя...
Опубликовано

Дорогие форумчане, с Вилли случилась беда!!!🆘

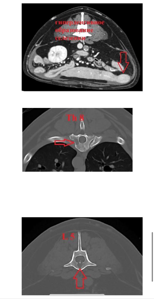
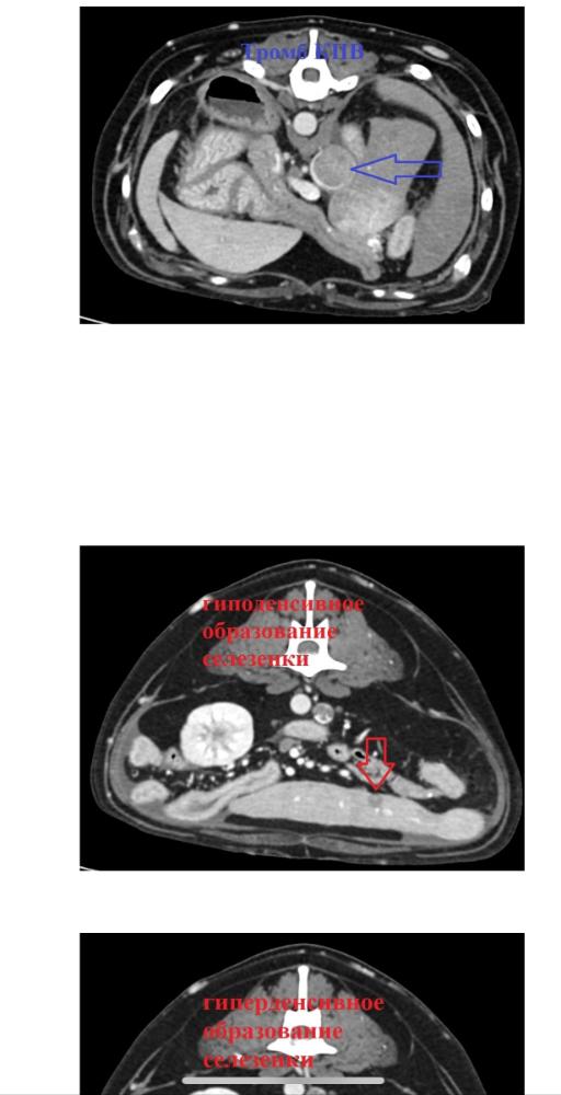
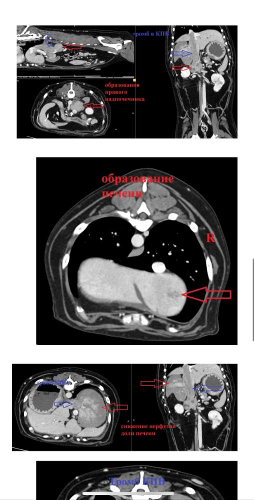
Вилли разбил инсульт, 23.02 мальчик встал на кровати, пошатываясь, попытался спрыгнуть, но потерял сознание и нырнул в бессознательном состоянии на пол, тывнувшись носом с этой высоты в пол ((( Выбито 4 зуба. Сделали еще УЗИ - нашли образования в надпочечнике и печени, еще разные вопросы. 😔 Целый букет!

 

E73080B5-8F13-4A48-BA78-4E349A976BB6.jpeg.c15ecc40656b43d92ef51620bcbffcbe.jpeg426FD648-5249-488E-8D77-CF9A145440DC.jpeg.e0c419192940cbed58f10479df918d12.jpegE1F7ABE0-65DD-400A-946A-D478E731AF77.jpeg.78b46f7137d6c3f794ae9bbabf076bd0.jpeg

 

C1ACB787-5C59-4D3E-892C-C4ADB82E5A39.jpeg.d2d6c7d13223d2044789167ab80483f9.jpegF1699EB6-5042-4682-B25E-4A8758310EFB.jpeg.999a803dd81c6a5531e02939713b034e.jpeg

 

Вчера прошли кардиолога.

Сейчас мальчик был на КТ, ждем результаты. Когда падал с кровати без сознания, сломал об пол 4 зуба. Удалили их под седацией сейчас, поскольку давать полноценный наркоз чревато. Теперь надо обращаться к терапевтам за грамотной терапией, чтобы поддержать ребенка на сколько возможно. Там букет, боюсь, что на КТ откроется еще более страшная картина.

К сожалению, в семье на днях были огромные расходы в связи с похоронами, влезли в долги, кредиты не дают. Очень просим фин помощи!!!🙏

Мы пытаемся и сами где-то занять  - перезанять, пытаемся взять кредиты, чтобы все по собакам оплатить, но остается только продать почки... Ситуация патовая (((

Когда он попал на форум, мы думали, что он молод. А по факту сейчас врачи говорят, что ему даже не 10 лет, а больше... 

 

47A9BFC5-CADA-4D87-8105-8C14AF564989_1_201_a.jpeg.5165e3042e9104cb62286559deaef9b1.jpeg

B860A9C3-70E4-4B95-B370-4E14DF8425A7.jpeg.a61ad5173db2cbf1f82d28855f5c77e9.jpeg

17D34F84-96DC-47FB-9295-B474F9FE02FA_1_201_a.jpeg.1d3f058e1d885dff57acdff124bbcc23.jpeg7220D5CA-5EDF-4E0F-858F-B6E1CCA46C9A.jpeg.844b3e3608010c82f0de275edcdae520.jpeg

C83DE2D0-6B24-4A29-A758-B97F9A59C2E1.jpeg.4309b8999610252d81cb3de82ef0dc48.jpeg

111293F8-294F-431D-BBE3-FF068347F8D5_1_201_a.jpeg.dc19415946f605242786e723f9e91207.jpeg

9DAD08E6-A335-42E4-B5E3-D2948DE2802E_1_201_a.jpeg.2bbcd40e1873cbd51233575ea3940b48.jpeg

DAC4AC1E-6689-4134-B702-51B292AB8395_1_201_a.jpeg.d982df15344b460b55bea8994a39699c.jpeg1C97563B-38D5-4CE8-92B3-B56B2DB927F7_1_201_a.jpeg.7ae53b2f621d7e2df91d55c9499d1e1a.jpeg

2934931C-C505-4E6B-A4D1-345DDA142FB2_1_201_a.jpeg.94de333f84c888f65de6d9fd898e18cd.jpeg

 

 

Расходы:

16950руб прием, УЗИ, анализы крови 23.02

10300руб кардиолог

Итого расходы: 27250руб

ИТОГО БАЛАНС:  МИНУС 27250₽

КТ пока не оплатили, ищем денег на оплату!

 

 

Реквизиты для помощи:

Карта Сбербанк 4279 3800 1813 3431 Светлана У

Карта Тинькофф 5536 9137 9790 0954 Светлана У

Очень прошу писать в комментах к переводу "Вилли",  и обязательно отписаться здесь. Благодарим за помощь!! 

27321249-D548-47D2-9E64-32ABBA1F5485.jpeg.7edd9c4e22fb1208ac4c7d82454d0a54.jpegE2B74B6D-4BCE-41C5-9492-9363B86089F8_1_201_a.jpeg.79f60e73a2d29b1f544b031f11ca9a0e.jpeg

 

 

D0AD33A3-C519-4F58-9C1E-65F5343885C1_1_201_a.jpeg.6d0207fe4d3980afab2369db7ad12626.jpeg

Опубликовано

Получили описание  КТ и свежие анализы крови 😔 Множество образований, показатели крови ухудшаются...

 Ждем вердикт Кузнецовой...

Минус огромен, помогите, пожалуйста, Виллечке 🙏

19AED20A-DB60-4D29-83D9-7ECE528662E5_1_201_a.jpeg.25a59a9efc279898c388f6986a94ef53.jpeg

 

4476732B-5950-4CFC-BF35-98640F38ADB3_1_201_a.jpeg.114bfef42d15227d679b4c4a3b926397.jpeg

5A80E6BE-B6B2-4D14-963F-49D4C6CE771B_1_201_a.jpeg.86ee8e3c94bf1d4141d626bba4dd3d0a.jpegц

7C8813D0-4FEF-4250-B408-93AA6AFD77E3_1_201_a.jpeg.187039a140d88449747a5977512d5034.jpeg

 

 

 

CFD836DB-B843-4A7E-AB85-6E1C04360A45_1_201_a.jpeg.bb169becd807f675753f7da2053b0cdd.jpeg

 

 

0B422D2B-CAD4-4BD0-8A6A-4D63FC93F46F_1_201_a.jpeg.424cc3812dccb798577ac453e7f0adbf.jpeg

 

 

4DA57719-F5D8-40E4-9337-92119A1582F8_1_201_a.jpeg.5d03638b84ccfbad6a8847f3a4a48a0f.jpeg

AF6903CC-2A30-451F-9DE0-ECB1A39C742D_1_201_a.jpeg.4227dc9ab097ca2e2ce392d5b5e21e6d.jpeg

83610204-23E1-44C0-90AE-637FE6B4AA5D_1_201_a.jpeg.dd5f062a034cb4d94b91408ad59f476d.jpeg

 

Баланс МИНУС 27250₽

Пополнения:

600руб *vikka*

1000руб Ирина и Ося

300руб Алена +Бард+Барон

150руб marson

Итого пополнения: 2050руб

Расходы:

28400руб КТ трех отделов, анализы крови и удаление 2 зубов (два других, сказали, оставляем, мажем десна)

ИТОГО БАЛАНС: МИНУС 53 600₽

 

9F63DD2B-8F1C-4B51-B7EA-7DEB121262AF_1_201_a.jpeg.a37b48d487e0623897bf04b998ee19d6.jpeg

image.png.b01fb8c5c4b86c5b7ea098c1212aa39d.png

 

  • Like 1
Опубликовано (изменено)

Вилли требуется Эпокрин, прописали 3000МЕ, может у кого-то есть? 🙏

Нужно три ампулы

Изменено пользователем Mosfilmka & Remy

Для публикации сообщений создайте учётную запись или авторизуйтесь

Вы должны быть пользователем, чтобы оставить комментарий

Создать аккаунт

Зарегистрируйте новый аккаунт в нашем сообществе. Это очень просто!

Регистрация нового пользователя

Войти

Уже есть аккаунт? Войти в систему.

Войти
  • Последние посетители   0 пользователей онлайн

    • Ни одного зарегистрированного пользователя не просматривает данную страницу
×
×
  • Создать...