Светлана 2101 Опубликовано 9 января, 2024 Опубликовано 9 января, 2024 Вечерняя идиллия. Мэйка не сходит с Аськиной подушки, так понравилось. У меня собаки постепенно становятся похожими друг на друга. У нас так. Я живу на кухне, собаки в комнате. И я хожу к ним периодически целовать.И Мэйка теперь сам уходит на лежачок. И все дружно спят целый день. А помните, как поначалу, всё стоял и стоял. Не ложился, я и на пол ложилась, а он все стоял и дышал. А теперь принял наш ритм, спокоен. Никто меня не преследует. Все тихо мирно спят. А я могу на кухне спокойно готовить, резать мясо. Никого это не ажиатирует. Могут выйти посмотреть, постоять чуть в дверях и уходят обратно. А в начале то помню, при Мэйке было ни поесть, ни продукты достать, прям из рук выхватывал. А теперь на столе лежит мясо, а он может просто спокойно постоять , да и уйдет на место. У меня вообще все собаки тихие становятся. И Линка спит целый день, ураганов у нас дома нет . Мне всегда смешно, играют, например, а я ложусь спать и все сразу тоже укладываются и спят, пока я не встану. 11
Светлана 2101 Опубликовано 9 января, 2024 Опубликовано 9 января, 2024 Сегодня сдали анализ ИХА на диро, на антиген к взрослой особи. Слава богу, отрицательно! Думаю этот вопрос можно закрыть. Не знаю, стоит ли продолжать давать мильбимакс ежемесячно. Тоже не витаминки. Записалась на 12 января к ортопеду, расскажу свои сомнения, если скажут делать рентген, сделаем. Но мне бы хотелось. По крайней мере посмотреть на предмет спондилеза состояние позвоночника. Чтобы уж точно понимать ритм жизни. И думаю ещё раз сдать на гепатозоон. По последнему УЗИ Могильниковой есть неоднородность печени, гепатоз. А местная врач из Абхазии сразу мне тогда сказала, что у них гепатозоон поголовно. И худоба от него может быть.это признак.Мы сдавали в сентябре, отрицательно, но потому какую свистопляску мы прошли с анализами, всё может быть. И ложно отрицательно, и ложно положительно. Вот такой план. 4 5
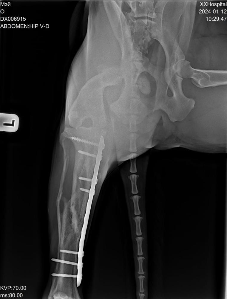
Светлана 2101 Опубликовано 12 января, 2024 Опубликовано 12 января, 2024 Сегодня съездили с Мэем к ортопеду. Сделали рентген. Сразу скажу, я осталась очень довольна приемом, содержательной беседой с врачом. Но есть новости хорошие и не очень. Сделано - рентген грудной и поясничный отдел, тазобедренных суставов и рентген оперированной лапы. По позвоночнику - в прекрасном состоянии, нет признаков травмы и дегенеративных изменений, кроме единичного незначимого очага дискоспондилита в среднем грудном отделе. На одном позвонке только есть изменения ( на снимке красным). Это ни о чем .Никак на жизнь не влияет. Тазобедренные суставы в отличном состоянии, без признаков дисплазии. В оперированной лапе - конструкция стабильна, признаки консолидации отломков. То есть всё хорошо. Доктор сказал, что далее ещё больше укрепляться будет. Процесс нарастания костной мозоли ещё идёт. Новости не очень. Измерил угол наклона плато, это крепление связок. Не очень владею всеми терминами, но своими словами напишу, как поняла. Этот угол у Мэя 20°, норма 14, при значении 25 и выше сто процентов разрыв ПКС неминуем. Хоть доктор и написал в заключении, что риск разрыва ПКС невелик, но на словах мне сказал, что вероятнее всего рано или поздно связки порвутся. 20° это уже большое натяжение, рвутся и при 22-23. Соответственно, рекомендации режим спокойных прогулок в монорежиме без кучных игр для минимизации нагрузки на коленные суставы . То есть спокойный режим даже не столько для оперированной лапы, сколько угроза разрыва ПКС. По словам доктора, это генетическая предрасположенность. В беседе он так сказал, что, да вы можете стараться его ограничивать от прыжков, но один раз он не прыгнет, а в другой раз всё равно прыгнет. Теперь вы знаете, что можно ожидать, но совсем собаку не ограничить во всем. А Мэй как раз очень прыгучий. Он даже на подзыв не просто подбегает, а прыгает.И бежит он прыжками. Один плюс, что он не знает диванов, и нет этого туда-сюда по 20 раз в день. Но на улице он хочет бегать. И бегает он очень мощно.Теперь понятно, что надо помнить об этом и стараться минимизировать прыжки . Но до сих пор связки целы, а прожил он с ними уже несколько лет, и режим у него был наверняка активный, никто его не ограничивал. Есть надежда, что продержатся они и ещё. И опять здесь очень хорошо, что он на НП, натуральные коллагены и Хондроитины помогут укреплению связок и сохранят суставы и позвоночник ,которые сейчас в прекрасном состоянии . Вот такое обследование. Я очень рада, что нет проблем в позвоночнике и суставах. Но не без ложки дегтя. Всё равно спокойный режим прогулок и жизни. А там как сложится. Просто теперь мы об этом знаем, что можно ожидать . 4 3
Светлана 2101 Опубликовано 12 января, 2024 Опубликовано 12 января, 2024 Рентген грудного отдела, вот единственный позвонок с дискоспондилитом, остальные все красивые Рентген пояснично крестцового отдела. Без изменений. Рентген тазобедренные. Рентген конструкции на оперированной лапе и углы. 5
Светлана 2101 Опубликовано 12 января, 2024 Опубликовано 12 января, 2024 Делали рентгены под седацией. Перенес хорошо, быстро проснулся, полежал 10 минут и пошли спокойно. Приехали , покормила немного, спал целый день, как всегда, вечером погуляли, активный. Аппетит отличный. Сдали на гепатозоон. Ждём результаты. Уже всего мы Мэя прокрутили. Нормальный пёс, здоровье неплохое. Да, не без проблем. Но что можем корректируем. Но как сказал доктор, нет полностью здоровых, есть недообследованные. Всегда можно что то найти. Теперь буду побольше закупать ушей, чтоб в рацион каждый день, хоть губы и едим на прогулке как награду. Тем более принимает хорошо, пусть кушает. Очень рада, что с позвоночником и суставами всё норм. Это чудо. и даже дегенеративных изменений практически нет. 4 2
Светлана 2101 Опубликовано 12 января, 2024 Опубликовано 12 января, 2024 По поводу моих волнений, что чешется, как то не так, стоя, не садясь, доктор сказал, что с возрастом падает эластичность хрящей, он уже не щенок. Так же и у людей, мы уже не можем так тянуться, как в молодости. Пусть чешется как ему удобно, никакой проблемы в этом нет. Сделал тест на задних лапах на иннервацию седалищного нерва. Всё хорошо. 4
ostorozno Опубликовано 12 января, 2024 Опубликовано 12 января, 2024 Кто бы нас самих так крутил вертел, обследовал))) Отлично, что все понятно и под контролем. 2
Светлана 2101 Опубликовано 12 января, 2024 Опубликовано 12 января, 2024 1 минуту назад, ostorozno сказал: Кто бы нас самих так крутил вертел, обследовал))) Отлично, что все понятно и под контролем. Точно , Свет, собак обследуем по полной, а сама никак никуда не дойду, надо бы и там, и там проверить, всё некогда . 5
Светлана 2101 Опубликовано 12 января, 2024 Опубликовано 12 января, 2024 12.01.Получено 1000 рублей из темы помощи пенсионеров. Спасибо огромное! Получено 500 рублей от Лены Барни на мясо. Лена, спасибо! 2
Наташа и Немо, 05.11.22 Опубликовано 13 января, 2024 Опубликовано 13 января, 2024 Света, от нас с Немо 500 р. Сама решишь куда нужнее на мясо или лечение. 1
Светлана 2101 Опубликовано 13 января, 2024 Опубликовано 13 января, 2024 Наташа, спасибо огромное, получено! 4 часа назад, Наташа и Немо, 05.11.22 сказал: Света, от нас с Немо 500 р. Сама решишь куда нужнее на мясо или лечение. 1
pavel9000 Опубликовано 13 января, 2024 Опубликовано 13 января, 2024 Перевела 500р.на мяско Мэю со сбера. 1 1
Светлана 2101 Опубликовано 13 января, 2024 Опубликовано 13 января, 2024 35 минут назад, pavel9000 сказал: Перевела 500р.на мяско Мэю со сбера. Светлана, спасибо огромное, получила! 1
Светлана 2101 Опубликовано 14 января, 2024 Опубликовано 14 января, 2024 Отчёт по медицине на 14.01.24. Остаток на 02.01.+ 7846 Приходы: 08.01.+ 3000 Юля и Милан 12.01.+ 1000 из темы пенсионеров на обследование Итого остаток с приходом + 11846 Расход: 09.01.- 1700 анализ ИХА на диро 12.01.- 8947 травматолог, рентген, анализ на гепатозоон Итого по расходу: - 10647 Итого остаток на 14.01. + 1199 руб Благодарим всех помогающих! Карта помощи СБ привязана к номеру 8-915-298-9-два-2- девять Светлана Владимировна К.
Светлана 2101 Опубликовано 14 января, 2024 Опубликовано 14 января, 2024 Удачно съездила в Ашан. На полках было мноого утиных шей. Даже оставила 3 пачки, взяла 12 упаковок. Мы с запасиком мясокостного. 3
Светлана 2101 Опубликовано 14 января, 2024 Опубликовано 14 января, 2024 Отчёт по питанию на 14.01.24. Остаток на 02.01. + 5067 Приходы: 12.01.+ 500 Лена Барни 13.01.+ 500 @Наташа и Немо, 05.11.22 13.01.+ 500 @pavel9000 Итого по приходу: + 1500 Итого приход с остатком: + 6567 Расход: 13.01. - 1190 шеи утки Итого остаток на 14.01. + 5377 Благодарю всех поддерживающих Мэйку! И Мэйка благодарит всех за вкусную и полезную еду. Вот куплю уши и обязательно сделаю видео, как он быстро с ними расправляется. Карта помощи СБ привязана к номеру 8-915-298-92-два- девять. Светлана Владимировна К. 2
Светлана 2101 Опубликовано 14 января, 2024 Опубликовано 14 января, 2024 Запланировали фотосессию на среду 17 января. Наш фотограф готова нас отфоткать . Ждите красивущего Мэйку! Хотя он и так красив даже на любительских фото.А в жизни ещё краше. Бесконечно любуюсь им. Великолепный представитель породы. 1 2
Шумахер Опубликовано 25 января, 2024 Опубликовано 25 января, 2024 Приход от *Nastena*-500 на еду . Спасибо большое. 1
ostorozno Опубликовано 25 января, 2024 Опубликовано 25 января, 2024 В 14.01.2024 в 22:26, светлана2101 сказал: Запланировали фотосессию на среду 17 января. Наш фотограф готова нас отфоткать . Ждите красивущего Мэйку! Хотя он и так красив даже на любительских фото.А в жизни ещё краше. Бесконечно любуюсь им. Великолепный представитель породы. а мы все ждем..
Светлана 2101 Опубликовано 25 января, 2024 Опубликовано 25 января, 2024 6 часов назад, ostorozno сказал: а мы все ждем.. Света, всё сделано. Фото есть. Хочу сразу с текстом выставить. Но пока нет физической возможности, цейтнот по всем фронтам. Плюс закупка мяса. Простите, но попозже. Физически не могу . 2
Светлана 2101 Опубликовано 25 января, 2024 Опубликовано 25 января, 2024 6 часов назад, Шумахер сказал: Приход от *Nastena*-500 на еду . Спасибо большое. Спасибо огромное, получено!
pavel9000 Опубликовано 26 января, 2024 Опубликовано 26 января, 2024 Перевела с тинькофф 500р.на мясо Мэйке 2
Светлана 2101 Опубликовано 26 января, 2024 Опубликовано 26 января, 2024 2 часа назад, pavel9000 сказал: Перевела с тинькофф 500р.на мясо Мэйке Свен, спан огромное , получено!
Наташа и Немо, 05.11.22 Опубликовано 26 января, 2024 Опубликовано 26 января, 2024 Света, он нас с Немочкой 500 р. 1
Рекомендуемые сообщения
Для публикации сообщений создайте учётную запись или авторизуйтесь
Вы должны быть пользователем, чтобы оставить комментарий
Создать аккаунт
Зарегистрируйте новый аккаунт в нашем сообществе. Это очень просто!
Регистрация нового пользователяВойти
Уже есть аккаунт? Войти в систему.
Войти