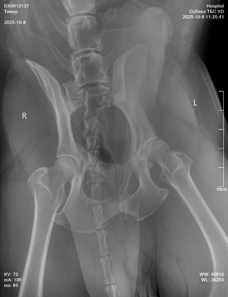
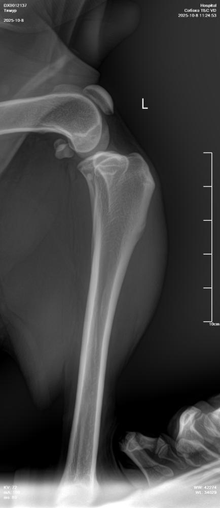
NataP Опубликовано 8 октября, 2025 Опубликовано 8 октября, 2025 Здравствуйте. Три дня назад после прогулки Тимур захромал, хотя сильных нагрузок не даём, немного поиграли с пуллером. Сегодня създили в клинику, сделали снимки без седации, кое как смогли завалить, сопротивлялся, поэтому снимки получились не такие, как хотелось бы. Но даже по ним нам ставят дисплазию и рекомендуют операцию по протезированию. Хочу проконсультироваться онлайн в Москве. Посоветуйте, пожалуйста, где сейчас лучше консультироваться, и подойдут ли такие снимки, или лучше переделать под седацией. Сейчас пока выписали онсиор или робексеру на 10 дней, но Омез сказали, давать не нужно, а я сомневаюсь, может всё-таки давать? Простите за много букв, просто в панике пока, а кроме вас не к кому обратиться. Снимки прикрепила.
NataP Опубликовано 8 октября, 2025 Автор Опубликовано 8 октября, 2025 Вот ещё заключение по снимкам прикрепила
Кирюша и Маруся Опубликовано 9 октября, 2025 Опубликовано 9 октября, 2025 Снимки без седации полная дезинформация. А к врачам, которые делают их для постановки диагноза лучше не ходить. Сделайте нормальные снимки с седацией у профи. При сомнении и пон азначению врача - МРТ. А обезбол крупной моложой собаке на травированную связку - это странно, так как нужно граничивать движение, а не просто снимать болевой и давать скакать. По врачам в МСК: Мезин, Еремин, Ягников, Воронцов, Самошкин, Середа, Давыдов, Гранин... Выбирайте любого. Нормальные рентгены делают они все. 1
NataP Опубликовано 9 октября, 2025 Автор Опубликовано 9 октября, 2025 А у нас похоже и нет других врачей, видимо даже снимки делать придется в Москву ехать. Обезболивающие назначили, потому что больно ходить, движение тоже сказали ограничить, но мы и так его не нагружали, ни прыжков, ни бега быстрого, откуда ещё травма связки, вообще не понятно. Рентген под седацией сказали через месяц приходить делать.
NataP Опубликовано 9 октября, 2025 Автор Опубликовано 9 октября, 2025 То есть эти снимки вообще безполезны? Зря только с Тимуром воевали, чтоб на стол уложить(
Звезда Севера Опубликовано 9 октября, 2025 Опубликовано 9 октября, 2025 К сожалению, да. Такие снимки не информативны. Я так понимаю, что вам ближе в Нижний Новгород ехать? Может, там найти хороших специалистов?
NataP Опубликовано 9 октября, 2025 Автор Опубликовано 9 октября, 2025 1 час назад, Звезда Севера сказал: К сожалению, да. Такие снимки не информативны. Я так понимаю, что вам ближе в Нижний Новгород ехать? Может, там найти хороших специалистов? Так это мы в Нижнем Новгороде и были, у нас в Балахне совсем туго со специалистами, только в Нижний и ездим, у нас максимум кровь сдать да прививки сделать. Я ранее спрашивала здесь про ортопедов в Нижнем, чтобы посоветовали кого-нибудь, просмотров много, то так никого и не посоветовали, нет их похоже, в Москве только 1
Звезда Севера Опубликовано 9 октября, 2025 Опубликовано 9 октября, 2025 Ох, надо же, город-миллионник, и нет специалистов... Сил вам! Пусть у собачки все стабилизируется!
Шумахер Опубликовано 9 октября, 2025 Опубликовано 9 октября, 2025 2 часа назад, NataP сказал: Так это мы в Нижнем Новгороде и были, у нас в Балахне совсем туго со специалистами, только в Нижний и ездим, у нас максимум кровь сдать да прививки сделать. Я ранее спрашивала здесь про ортопедов в Нижнем, чтобы посоветовали кого-нибудь, просмотров много, то так никого и не посоветовали, нет их похоже, в Москве только А где делают рентген на дисплазию владельцы питомников в вашем городе ? Или все в Москву приезжают ? В вашем городе есть серьезные питомники которые входят в РКФ ?
NataP Опубликовано 9 октября, 2025 Автор Опубликовано 9 октября, 2025 31 минуту назад, Звезда Севера сказал: Ох, надо же, город-миллионник, и нет специалистов... Сил вам! Пусть у собачки все стабилизируется! Спасибо большое, будем стараться, до Москвы не так далеко
NataP Опубликовано 9 октября, 2025 Автор Опубликовано 9 октября, 2025 6 минут назад, Шумахер сказал: А где делают рентген на дисплазию владельцы питомников в вашем городе ? Или все в Москву приезжают ? В вашем городе есть серьезные питомники которые входят в РКФ ? Не знаю, есть ли у нас питомники, мы купили на авито у разводни( , теперь пожинаем плоды. Вроде на форуме был как-то помет из Нижнего. Мне здесь посоветовали клинику Зоозащита НН, но просто в общем, не ортопеда. Вот туда мы и ездили, отзывы тоже о ней в интернете неплохие, лучше вряд-ли что-то найдется, про остальные потому что и отзывы - полный швах
NataP Опубликовано 9 октября, 2025 Автор Опубликовано 9 октября, 2025 Снимки в Зоозащите, думаю, можно будет сделать, если под седацией, разложат уж, надеюсь, как положено. А вот консультироваться по ним однозначно будем с московскими специалистами. Везти ради снимков в Москву тоже не очень бы хотелось, парень очень стрессует в машине и в клиниках, превращается в полного невменько. Он вчера-то приехал в обед и до вечера лежал как овощ, без сил. В общем анализе аж гемоглобин подскочил от стресса
NataP Опубликовано 9 октября, 2025 Автор Опубликовано 9 октября, 2025 В принципе врач нам вчера тоже сказала, что нужны снимки под седацией, через месяц велела записываться, а пока пропить противовоспалительное/обезболивающее и убрать нагрузки
Ольга и Огонёк Опубликовано 9 октября, 2025 Опубликовано 9 октября, 2025 41 минуту назад, NataP сказал: В принципе врач нам вчера тоже сказала, что нужны снимки под седацией, через месяц велела записываться, а пока пропить противовоспалительное/обезболивающее и убрать нагрузки https://dokdiplodok.ru/ клиника в Нижнем . заводчики там делают снимки
Кирюша и Маруся Опубликовано 9 октября, 2025 Опубликовано 9 октября, 2025 5 часов назад, NataP сказал: То есть эти снимки вообще безполезны? Зря только с Тимуром воевали, чтоб на стол уложить( Честно говоря, если вы воевали с Тимуром и не добили его на этом столе до подвывихов, то кажется у вас все не так и плохо, как вам рассказывают "врачи"
Кирюша и Маруся Опубликовано 9 октября, 2025 Опубликовано 9 октября, 2025 1 час назад, NataP сказал: Не знаю, есть ли у нас питомники, мы купили на авито у разводни( , теперь пожинаем плоды. Вроде на форуме был как-то помет из Нижнего. Мне здесь посоветовали клинику Зоозащита НН, но просто в общем, не ортопеда. Вот туда мы и ездили, отзывы тоже о ней в интернете неплохие, лучше вряд-ли что-то найдется, про остальные потому что и отзывы - полный швах В Нижнем есть один из самых сильных питомников России. https://librador.ru/ Попробуйте написать Лолите вопрос о клинике. Она в кинологии лет 30. 1
NataP Опубликовано 9 октября, 2025 Автор Опубликовано 9 октября, 2025 28 минут назад, Ольга и Огонёк сказал: https://dokdiplodok.ru/ клиника в Нижнем . заводчики там делают снимки Спасибо! Позвоню туда
NataP Опубликовано 9 октября, 2025 Автор Опубликовано 9 октября, 2025 12 минут назад, Кирюша и Маруся сказал: Честно говоря, если вы воевали с Тимуром и не добили его на этом столе до подвывихов, то кажется у вас все не так и плохо, как вам рассказывают "врачи" Воевали конечно максимально аккуратно, проблема была на спину положить, держали и укладывали за корпус, не за лапы. Лапы врач только потом немного выпрямила и придерживала, чтобы снимок сделать, слава Богу да, обошлось без травм, может и правда не всё так страшно
Рекомендуемые сообщения
Для публикации сообщений создайте учётную запись или авторизуйтесь
Вы должны быть пользователем, чтобы оставить комментарий
Создать аккаунт
Зарегистрируйте новый аккаунт в нашем сообществе. Это очень просто!
Регистрация нового пользователяВойти
Уже есть аккаунт? Войти в систему.
Войти